信息中心
Information Center
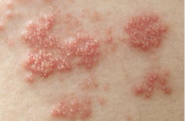
我们为何会患上带状疱疹?又该如何接种疫苗来预防?
发布时间2019-03-18 | 点击率:

从11月1日起,70至79岁的老年人或许就能够免费注射带状疱疹疫苗了,带状疱疹是一种可怕的好发于老年人机体中的疾病,本文中我们就来看看带状疱疹到底是什么?其致病机制到底是怎么样的?我们又该对哪些群体进行疫苗注射来抵御带状疱疹呢?带状疱疹是什么?一旦位于皮肤神经根部休眠状态的水痘带状疱疹病毒再度活化就会引发带状疱疹,而患者多半在早年间出过水痘。带状疱疹通常表现为机体一侧由单一神经供给的一片皮肤出现疼痛以及皮疹的发生,在皮疹出现之前疼痛往往会延续数天,有时候医生会将患者误诊为其它疾病。带状疱疹病灶部位的疼痛通常会持续数月甚至数年,而这常常是带状疱疹患者最为常见的症状表现;疱疹后的神经痛(PHN)通常会持续存在,而且轻轻触碰患处还会诱发患者疼痛表现。目前针对疱疹后神经痛并无有效的疗法,尽管采用了多种复杂的疼痛疗法进行治疗,但有一半以上的患者机体的疼痛表现都很难得到缓解,即使早期利用抗病毒和疼痛疗法治疗带状疱疹,疱疹后神经痛依然会发生。另外一种常见的并发症就是眼部带状疱疹,其会影响到患者眼部周围的皮肤并且危及患者的视力。

带状疱疹到底有多常见?几乎所有的澳大利亚成年人(95%以上)曾经都感染过水痘带状疱疹病毒,而且都处于带状疱疹发病的风险之中,尽管这些个体并不记得他们曾经是否出过水痘。年龄的增长是个体患带状疱疹的最大风险因子,随着机体衰老,我们细胞中抵御病毒入侵的免疫力会不断下降。全世界大约三分之一的人都会在其一生中某个时间点患上带状疱疹,每年在澳大利亚大约有2万名70至79岁的老年人会受到带状疱疹的影响。当处于老年阶段,患上带状疱疹还会增加个体出现其它并发症的风险,疱疹后神经痛(PHN)发生于带状疱疹发病后,其通常在50至59岁的群体中的发病率大约为十分之一,但在70岁以上的老年人群体中发病率就增加到了五分之一了。存在其它健康问题,或者进行诸如癌症等疾病疗法的患者往往机体免疫力较为低下,因此这个个体患上带状疱疹的风险更大一些,而这同个体的年龄并无关联。带状疱疹的疫苗带状疱疹疫苗Zostavax由活体但毒力明显减弱的水痘带状疱疹病毒组成,相比当前被推荐在儿童中使用的水痘疫苗而言,Zostavax疫苗的效力大约是前者的14倍左右,而且患者机体中需要更多的减毒病毒来刺激T细胞发挥作用,这对于已经感染病毒的老年人而言非常重要。单一剂量注射的水痘带状疱疹病毒疫苗目前已经在澳大利亚和其它国家注册了大约10年左右时间,但疫苗的可用性非常有限,有研究表明这种疫苗在50岁及以上人群中是有效且安全的。大约一半接种过疫苗的个体都会出现机体注射部位疼痛、鼓起或发红等表现,但这种表现通常是极其轻微且短暂的;更重要的是,由于这种疫苗是一种减毒活疫苗,因此其并不能够用于机体免疫系统明显缺陷的患者机体中。

新型疫苗的效用到底如何?能够维持多长时间?带状疱疹的预防性研究(The Shingles Prevention Study,SPS)招募了大约4万名成年人,结果发现,相比安慰剂而言,Zostavax疫苗能够降低51%的个体感染带状疱疹病毒的风险,同时还能够降低67%的60岁及以上个体出现疱疹后神经痛的风险。抵御带状疱疹的疫苗保护作用会随着年龄的增长而不断降低,在60至69岁的人群中的保护效应大约为64%,70至79岁的人群中则为41%,而80岁以上的人群中则为18%。从另一方面来讲,Zostavax疫苗抵御70至79岁人群出现疱疹后神经痛的保护效应或许同60岁以上个体是一样的,在每个研究组中患上疱疹后神经痛的风险会降低三分之二,这就意味着,即使接种疫苗的个体在70岁时患上的带状疱疹,其患疱疹后神经痛的风险也会降低50%。那么单一剂量的疫苗能够维持多长时间的保护作用呢?临床试验研究结果表明,个体在接种后这种保护作用为维持5年以上,同时疫苗提供的保护或许还会持续很长时间,但目前研究者对此并不确定。在当前阶段,二次剂量或者加强剂量的疫苗的注射或许并不被推荐。

为何免费疫苗仅提供给70岁以上的老年人?考虑到所有因素,那么应该选择什么样的人群来为其提供免费的疫苗注射呢?这时候就要提出一种复杂的模型了,其能够纳入疾病及严重性的高峰年龄以及随着时间过去疫苗效应的缺失情况;当考虑了这些因素后,研究者认为对70岁以上人群进行免费疫苗接种或许是最有效的一种策略,也就是在未来5年里对71至79岁的老年人进行免费的疫苗接种。在投资程序外,带状疱疹疫苗还应当对50至69岁或80岁以上的个体进行接种,但这些接种者目前还需要自付费用。
(来源:生物谷Bioon.com)